ΕΡΕΥΝΑ ΟΜΑΔΑΣ ΓΚΙΟΥΡΔΑΣ ΧΕΙΡΟΥΡΓΙΚΗ
Ταχυκαρδία: άμεση συσχέτιση με την Διαφραγματοκήλη Έρευνα διεξήχθη σε ασθενείς μας που υπεβλήθηκαν σε επέμβαση (Θολοπλαστική κατά Nissen ή Ανάταξη...
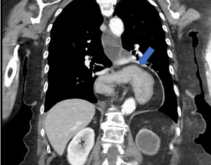
Case 6
Φαρυγγολαρυγγική Παλινδρόμηση και οισοφάγος Barrett. Άνδρας ασθενής 50 ετών, προσήλθε στο ιατρείο μας στην Κοζάνη με βαριά χρόνια φαρυγγολαρυγγική παλινδρόμηση....
Case 7
Ψωριασική αρθρίτιδα και γαστροοισοφαγική παλινδρόμηση Νοσογόνα παχύσαρκη ασθενής 37 ετών, 98 κιλά (ΔΜΣ 40,2 Νοσογόνος παχυσαρκία) με σακχαρώδη διαβήτη προσήλθε...
Μη αλκοολική λιπώδης νόσος του ήπατος (ΜΑΛΝΗ).
Μη αλκοολική λιπώδης νόσος του ήπατος (non alcoholic fatty liver disease NAFLD) Η συσσώρευση λίπους στα κύτταρα του ήπατος ονομαζόταν...
Case8
Ιατρικό case Επιπτώσεις πολύχρονης λήψης ομεπραζόλης σε ασθενή με διαφραγματοκήλη Άνδρας ασθενής 71 ετών, προσήλθε στο ιατρείο μας στην Λάρισα...
Καρκίνος του μαστού και παχυσαρκία
Ο καρκίνος του μαστού είναι η συνηθέστερη μορφή καρκίνου στις γυναίκες. Περίπου 1 στις 8 γυναίκες θα αναπτύξουν καρκίνο του...
Case 9
Ιατρικό Case Revision αντιπαλινδρομική επέμβαση Γυναίκα ασθενής 71 ετών προσήλθε στο ιατρείο μας με βαριά συμπτώματα γαστροοισοφαγικής παλινδρόμησης (ΓΟΠΝ). Η...
Ασθενείς με οισοφάγο Barrett: Αυξημένος κίνδυνος για.
Ο SARS–CoV-2 έχει εισβάλει βίαια στην καθημερινότητά μας. Ακόμη και σήμερα, σχεδόν ένα χρόνο μετά τον εντοπισμό του πρώτου κρούσματος...
Case 10
Γαστρικός δακτύλιος: αιτία της επίκτητης διαφραγματοκήλης Νέος άνδρας ασθενής προσήλθε στο ιατρείο μας με συμπτώματα γαστροοισοφαγικής παλινδρόμησης. Η παλινδρόμηση του...
Παχυσαρκία: αιτίες και θεραπεία
Η παχυσαρκία είναι μία από τις πιο διαδεδομένες χρόνιες παθήσεις που χρειάζεται συστηματική ιατρική θεραπεία και πρόληψη. Ορίζεται, γενικά, ως...
